
CT scanning—sometimes called CAT scanning—is a noninvasive, painless medical test that helps physicians diagnose and treat medical conditions. CT imaging uses special x-ray equipment to produce multiple images or pictures of the inside of the body and a computer to join them together in cross-sectional views of the area being studied. The images can then be examined on a computer monitor or printed.
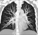
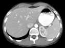
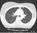
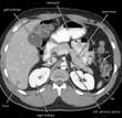
CT scans of internal organs, bone, soft tissue and blood vessels provide greater clarity than conventional x-ray exams.
Using specialized equipment and expertise to create and interpret CT scans of the body, radiologists can more easily diagnose problems such as cancers, cardiovascular disease, infectious disease, trauma and musculoskeletal disorders.
Physicians often use the CT examination to:
You should wear comfortable, loose-fitting clothing to your exam. You may be given a gown to wear during the procedure.
Metal objects including jewelry, eyeglasses, dentures and hairpins may affect the CT images and should be left at home or removed prior to your exam. You may also be asked to remove hearing aids and removable dental work.
You may be asked not to eat or drink anything for several hours beforehand, especially if a contrast material will be used in your exam. You should inform your physician of any medications you are taking and if you have any allergies, especially to contrast materials.
Also inform your doctor of any recent illnesses or other medical conditions, and if you have a history of heart disease, asthma, diabetes, kidney disease or thyroid problems. Any of these conditions may increase the risk of an unusual adverse effect.
Women should always inform their physician or technologist if there is any possibility that they are pregnant.
The CT scanner is typically a large machine with a hole, or tunnel, in the center. A moveable examination table slides into and out of this tunnel. In the center of the machine, the x-ray tube and electronic x-ray detectors are located opposite each other on a ring, called a gantry, which rotates around you. The computer that processes the imaging information and monitor are located in a separate room.
In many ways CT scanning works very much like other x-ray examinations. X-rays are a form of radiation—like light or radio waves—that can be directed at the body. Different body parts absorb the x-rays in varying degrees.
In a conventional x-ray exam, a small burst of radiation is aimed at and passes through the body, recording an image on photographic film or a special image recording plate. Bones appear white on the x-ray; soft tissue shows up in shades of gray and air appears black.
With CT scanning, numerous x-ray beams and a set of electronic x-ray detectors rotate around you, measuring the amount of radiation being absorbed throughout your body. At the same time, the examination table is moving through the scanner, so that the x-ray beam follows a spiral path. A special computer program processes this series of pictures, or slices of your body, to create two-dimensional cross-sectional images, which are then displayed on a monitor.
CT imaging is sometimes compared to looking into a loaf of bread by cutting the loaf into thin slices. When the image slices are reassembled by computer software, the result is a very detailed multidimensional view of the body's interior.
Refinements in detector technology allow new CT scanners to obtain multiple slices in a single rotation. These scanners, called "multislice CT" or "multidetector CT," allow thinner slices to be obtained in a shorter period of time, resulting in more detail and additional view capability.
Modern CT scanners are so fast that they can scan through large sections of the body in just a few seconds. Such speed is beneficial for all patients but especially children, the elderly and critically ill.
For some CT exams, a contrast material is used to enhance visibility in the area of the body being studied.
The technologist begins by positioning you on the CT examination table, usually lying flat on your back or possibly on your side or on your stomach. Straps and pillows may be used to help you maintain the correct position and to hold still during the exam.
If a contrast material is used, it will be swallowed, injected through an intravenous line (IV) or administered by enema, depending on the type of examination.
Next, the table will move quickly through the scanner to determine the correct starting position for the scans. Then, the table will move slowly through the machine as the actual CT scanning is performed.
You may be asked to hold your breath during the scanning.
When the examination is completed, you will be asked to wait until the technologist determines that the images are of high enough quality for the radiologist to read.
CT scanning of the body usually lasts between five and 30 minutes.
Most CT exams are painless, fast and easy. With spiral CT, the amount of time that the patient needs to lie still is reduced.
Though the scanning itself causes no pain, there may be some discomfort from having to remain still for several minutes. If you have a hard time staying still, are claustrophobic or have chronic pain, you may find a CT exam to be stressful. The technologist or nurse may offer you a mild sedative to help.
If an intravenous contrast material is used, you will feel a slight pin prick when the needle is inserted into your vein. You may have a warm, flushed sensation during the injection of the contrast materials and a metallic taste in your mouth that lasts for a few minutes. Occasionally, a patient will develop itching and hives, which can be relieved with medication. If you become light-headed or experience difficulty breathing, you should notify the technologist or nurse, as it may indicate a more severe allergic reaction.
If the contrast material is swallowed, you may find the taste mildly unpleasant; however, most patients can easily tolerate it. You can expect to experience a sense of abdominal fullness and an increasing need to expel the liquid if your contrast material is given by enema. In this case, be patient, as the mild discomfort will not last long.
When you enter the CT scanner, special lights may be used to ensure that you are properly positioned. With modern CT scanners, you will hear only slight buzzing, clicking and whirring sounds as the CT scanner revolves around you during the imaging process. You will be alone in the exam room during the CT scan, however, the technologist will be able to see, hear and speak with you at all times.
With pediatric patients, a parent may be allowed in the room but will be required to wear a lead apron to prevent radiation exposure. After a CT exam, you can return to your normal activities. If you received a contrast material, you may be given special instructions.
A radiologist, a physician specifically trained to supervise and interpret radiology examinations, will analyze the images and send a signed report to your primary care or referring physician, who will share the results with you.
Very fine soft-tissue details in areas such as the knee or shoulder can be more readily and clearly seen with magnetic resonance imaging (MRI). The exam is not generally indicated for pregnant women.
A person who is very obese may not fit into the opening of a conventional CT unit.
| Copyright © 2026 www.indianhealthguru.com All Rights Reserved. |